انواع کراس بایت

انواع کراس بایت: 5 نوع از اختلالات کراس بایت دندان

کراس بایت شاید در ابتدا یک مشکل جزئی و خفیف دندانی به نظر برسد، اما تاثیر قابل توجهی بر سلامت دهان و دندانها و سلامت کلی بدن شما می‌گذارد. اگر دندان‌های نامرتب یا مشکل در گاز گرفتن دارید، احتمالا دچار این مشکل رایج دهان و دندان هستید. شناسایی کراس بایت نه تنها برای داشتن لبخندی زیبا بسیار مهم است، بلکه از عوارض احتمالی در مراحل بعدی زندگی شما نیز جلوگیری می‌کند. در این محتوا، علائم اصلی کراس بایت (آندربایت)، نحوه تشخیص و از همه مهم‌تر گزینه‌های درمانی کارآمد این عارضه را بررسی خواهیم کرد.

کراس بایت چیست؟

کراس بایت یک ناهماهنگی دندانی است که در آن دندان‌های بالایی هنگام بسته بودن فک‌ها، داخل دندان‌های پایینی قرار می‌گیرند. برخلاف اوربایت عمودی یا بیرون‌زدگی فک پایین، کراس بایت ناهماهنگی به سمت طرفین دندانها است. در اصل دندان‌ها نمی‌توانند در هر دو طرف به درستی تراز شوند. این اختلال یک یا چند دندان را تحت تاثیر قرار می‌دهد و می‌تواند در جلوی دهان (کراس بایت قدامی) یا در پشت دهان ( کراس بایت خلفی) رخ دهد.

از دیدگاه بالینی، کراس بایت نشان‌ دهنده ناهم‌ ترازی در عرض فک بالا و پایین است. در حالت طبیعی و سالم دندانها، دندان‌های بالا بایستی در طول قوس دندانی، کمی روی دندان‌های پایین قرار بگیرند.

آکادمی ارتودنسی آمریکا تخمین می‌زند که ۲۰ تا ۳۰ درصد از بیماران ارتودنسی به نوعی کراس بایت مبتلا هستند. کراس بایت‌ها فقط یک مشکل زیبایی نیستند؛ بلکه آنها نوعی ناهماهنگی‌ عملکردی دندان‌ها می‌باشند. این عارضه با گذشت زمان می‌تواند بر جویدن، گفتار و حتی تنفس تاثیر بگذارد. بنابراین، حتی کراس بایت به ظاهر خفیف برای درمان ارتودنسی نیز توصیه می‌شود.

انواع کراس بایت دندان

1. کراس بایت قدامی

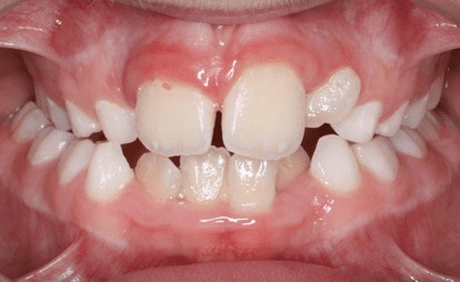
کراس بایت قدامی به وضعیتی اشاره دارد که در آن یک یا چند دندان پیشین بالایی در حین جفت شدن، پشت دندان‌های پیشین پایینی قرار می‌گیرند. این وضعیت اغلب با کراس بایت (آندربایت) اشتباه گرفته می‌شود، اما این دو اختلال با هم متفاوت هستند زیرا کراس بایت قدامی فقط شامل برخی از دندان‌ها می‌شود، نه کل استخوان فک.

کراس بایت قدامی را می‌توان به دو دسته کاملاً دندانی (نامرتبی دندان‌ها) و اسکلتی (ناشی از فک بالای رشد نیافته یا فک پایین رشد یافته) طبقه‌بندی کرد. در صورت عدم درمان، این اختلال منجر به ساییدگی بیش از حد دندان‌های قدامی می‌شود، در نتیجه بر تلفظ تاثیر می‌گذارد و به طور بالقوه باعث ایجاد الگوهای جبرانی استخوان فک می‌شود.

انواع کراس بایت (کراس بایت قدامی)
کراس بایت قدامی

کراس بایت خلفی

این مطلب را از دست ندهید!
ارتودنسی اینویزیلاین چقدر طول می‌کشد تا دندان‌ها را صاف کند؟

2. کراس بایت خلفی

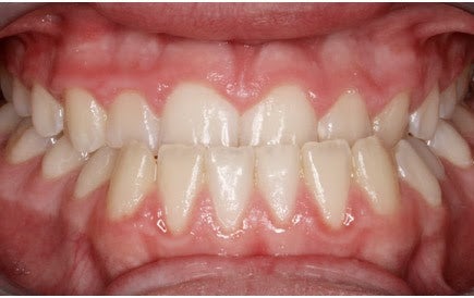
کراس بایت خلفی به وضعیتی اشاره دارد که در آن دندان‌های آسیاب و پرمولر فک بالا، درون دندان‌های آسیاب و پرمولر فک پایین قرار می‌گیرند. این اختلال اغلب باعث می‌شود بیماران هنگام بستن دهان خودشان برای راحتی بیشتر در گاز گرفتن، فک پایین خود را به یک طرف کج کنند.

این حرکت جبرانی به مرور زمان منجر به عدم تقارن صورت و اختلال عملکرد طولانی مدت مفصل گیجگاهی فکی می‌شود. کراس بایت خلفی به ویژه در کودکان شایع است و در اثر قوس کام باریک، مکیدن انگشت شست یا استفاده طولانی مدت از پستانک ایجاد می‌شود.

انواع کراس بایت (کراس بایت خلفی)
کراس بایت خلفی

3. کراس بایت تک دندانی

کراس بایت تک دندانی به ناهم‌ترازی جای‌گیری دندان اشاره دارد که در آن یک دندان (معمولاً دندان پیشین) بطور غیرطبیعی رشد می‌کند یا به موقعیت غیرطبیعی منتقل می‌شود. در این نوع کراس بایت دندان به جای کمی جلوتر بودن در حالت طبیعی دندانها، معمولاً پشت دندان مقابل قرار می‌گیرد و به طور غیرطبیعی تغییر شکل می‌دهد.

اگرچه این نوع کراس بایت، فقط یک دندان را درگیر می‌کند، اما اثرات آن فقط محدود به زیبایی نیست. با گذشت زمان، این اختلال منجر به ساییدگی ناهموار مینای دندان، تحریک لثه و حتی ناراحتی فک می‌شود.

انواع کراس بایت (کراس بایت تک دندانی)
کراس بایت تک دندانی

4. کراس بایت دو طرفه

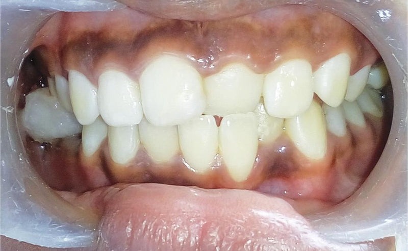
کراس بایت دو طرفه به حالتی اشاره دارد که دندان‌های فک بالا در دو طرف دهان، داخل دندان‌های فک پایین قرار می‌گیرند. این عارضه معمولاً به دلیل باریک بودن فک بالا، پهن بودن فک پایین یا ترکیبی از هر دو اختلاف اسکلتی فک ایجاد می‌شود.

این وضعیت می‌تواند دندان‌های قدامی و خلفی یا حتی کل قوس دندانی را تحت تاثیر قرار دهد. از آنجا که در این اختلال هر دو طرف دهان تحت تاثیر قرار می‌گیرند، کراس بایت‌های دو طرفه به احتمال زیاد منجر به رشد متقارن فک اما اختلال در عملکرد آنها می‌شوند؛ بنابراین، تشخیص و مداخله زودهنگام برای ثبات طولانی مدت بسیار مهم است.

انواع کراس بایت (کراس بایت دو طرفه)
کراس بایت دو طرفه

5. کراس بایت یک طرفه

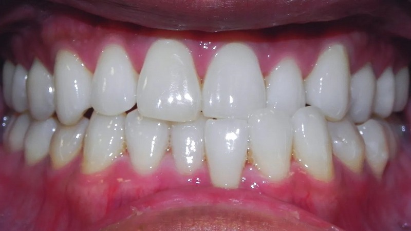
کراس بایت یک طرفه نوعی ناهماهنگی در قرارگیری دندان‌ها است که در آن دندان‌های یک طرف دهان نامرتب هستند. این امر باعث می‌شود هنگام بسته شدن فک، دندان‌های بالایی داخل دندان‌های پایینی قرار بگیرند (یا برعکس).

برخلاف کراس بایت دو طرفه (که به طور متقارن هر دو طرف را تحت تاثیر قرار می‌دهد)، کراس بایت یک طرفه معمولاً منجر به ناهم‌ترازی عملکردی فک می‌شود. برای جبران، فک پایین هنگام بسته شدن دهان به یک طرف منحرف می‌شود. این امر می‌تواند منجر به رشد نامتقارن فک، عدم تناسب صورت، کشش مفصل گیجگاهی فکی و سایش ناهموار دندان‌ها در سمت آسیب‌دیده شود.

انواع کراس بایت (کراس بایت یک طرفه)
کراس بایت یک طرفه

چه چیزی باعث کراس بایت می‌شود؟

  • پیش زمینه ژنتیکی
این مطلب را از دست ندهید!
موم ارتودنسی چیست؟ نحوه و زمان استفاده

مانند بسیاری از مشکلات دندانی و اسکلتی، کراس بایت اغلب زمینه ژنتیکی خانوادگی دارد. اگر یکی یا هر دو والدین سابقه ناهماهنگی یا اختلال در قرارگیری دندان‌ها، به ویژه قوس فک بالای باریک یا فک پایین بیرون زده، داشته باشند، فرزندان آنها در معرض خطر بیشتری برای ابتلا به کراس بایت هستند. در این موارد، مشکل در ساختار اسکلتی فک زیرین نهفته است و نه در نحوه قرارگیری تک تک دندان‌ها.

  • ناهم‌ ترازی فک

اگر فک بالا به طور ناهموار رشد کند یا فک پایین بیش از حد رشد کند، منجر به ناهماهنگی یا اختلال در قرارگیری دندان‌ها می‌شود. این وضعیت در دوران بلوغ شایع است، زمانی که جهش رشد، ناهنجاری‌های اسکلتی پیش موجود را برجسته‌تر می‌کند.

  • عادت‌های دراز مدت دوران کودکی

عادات دهانی در طول دوران رشد می‌توانند بر رشد استخوان فک تاثیر بگذارند و منجر به رویش غیرطبیعی دندان‌ها ‌شوند.

  • تاخیر یا رویش زود دندانها

زمان‌بندی رویش دندانها مهم است. اگر دندان‌های شیری خیلی زود بیفتند، دندان‌های مجاور به فضای خالی جابجا می‌شوند، در نتیجه دندان‌های دائمی به طور نادرست رویش می‌کنند. برعکس، اگر دندان‌های شیری برای مدت طولانی در دهان باقی بمانند، مانع رویش طبیعی دندان‌های دائمی می‌شوند و منجر به کراس بایت می‌شوند.

  • شکاف کام و ناهنجاری‌های جمجمه و صورت

کودکانی که به شکاف کام، سندرم کروزون یا سندرم توالی پیر رابین مبتلا هستند، اغلب به دلیل اختلال در رشد فک، دچار ناهماهنگی شدید در قرارگیری دندان‌ها هستند.

درمان‌های کراس بایت

درمان کراس بایت برای برای همه یک نوع و استاندارد نیست؛ این درمان به نوع ناهماهنگی (قدامی یا خلفی)، علت (دندانی یا اسکلتی)، شدت و سن بیمار بستگی دارد. درمان زودهنگام معمولاً منجر به نتایج درمانی ساده‌ تر و همتراز می‌شود، به خصوص برای کودکانی که استخوان‌هایشان هنوز در حال رشد است. در بزرگسالان درمان با راهکارهای بیومکانیکی یا جراحی پیچیده‌ صورت می‌گیرد، اما در کل با یک برنامه درمانی خوب طراحی شده، می‌توان به نتایج خوبی دست یافت.

  • بریس‌ها

بریس‌های سنتی همچنان استاندارد طلایی برای اصلاح اکثر انواع کراس بایت‌، به ویژه برای نوجوانان و بزرگسالان هستند. بریس‌های سنتی با اعمال نیروهای کنترل‌شده و پیشرونده، دندان‌ها را در موقعیت صحیح قرار می‌دهند. در سال‌های اخیر، پیشرفت در فناوری‌هایی مانند بریس‌های خودتنظیم و طرح‌های درمانی دیجیتال سه‌بعدی، با راحتی و قابلیت پیش‌بینی نتایج، درمان کراس بایت‌ها را بهبود بخشیده است.

  • اینویزیلاین

در حال حاضر الاینرهای نامرئی برای اصلاح انواع مختلف کراس بایت‌ها – به ویژه کراس بایت خفیف تا متوسط – مورد تأیید سازمان غذا و داروی آمریکا (FDA) هستند.

  • وسیله‌های گسترش ‌دهنده کام
این مطلب را از دست ندهید!
ورزش و ارتودنسی – از لبخند فرزندتان در زمین بازی محافظت کنید

گسترش دهنده‌های کام عمدتاً در کودکان و نوجوانان استفاده می‌شوند. آنها با افزایش عرض فک بالا قبل از جوش خوردن صفحات رشد، کراس بایت اسکلتی را اصلاح می‌کنند. همچنین گسترش دهنده‌های کام می‌توانند جریان هوای بینی و حجم راه هوایی را بهبود بخشند، این امر برای کودکانی که دچار اختلال تنفسی در خواب هستند، بسیار سودمند است.

  • جراحی اصلاحی فک (جراحی ارتوگناتیک)


وقتی کراس بایت ناشی از ناهنجاری اسکلتی شدید (مانند فک پایین بیش از حد پهن یا فک بالای بیش از حد باریک) باشد، جراحی ارتوگناتیک تنها گزینه موثر می‌باشد.

جمع بندی

اگرچه کراس بایت یک ناهمترازی ساده و جزئی است، اما این اختلال و عدم تقارن، رابطه پیچیده‌ای بین ساختار اسکلتی، دینامیک اکلوزال و سلامت دهان و دندان را در درازمدت پنهان می‌کند. کراس بایت چه ناشی از عدم تعادل اسکلتی، چه شلوغی دندان‌ها یا عادات رشدی باشد، به ندرت خود به خود اصلاح می‌شود. اگر درمان به موقع صورت نگیرد، اغلب منجر به مجموعه‌ای از عوارض، از فرسایش مینای دندان گرفته تا اختلال عملکرد استخوان فک می‌شود.

خوشبختانه، فناوری ارتودنسی مدرن، ابزارهای بیشتری نسبت به گذشته برای اصلاح کراس بایت در هر سنی ارائه می‌دهند. این درمان‌ها شامل وسیع‌کننده‌های کام که در دوران کودکی، الاینرهای شفاف و گزینه‌های جراحی برای بزرگسالان می‌باشند. درمان کراس بایت یک روش یکسان برای همه نیست، بلکه راهکارهای شخصی‌سازی شده است. کلید حل این مشکل، تشخیص زودهنگام، دقت بالینی و یک برنامه درمانی متناسب با آناتومی فک و خواسته‌های شما است.

اگر به کراس بایت در خود یا فرزندتان مشکوک هستید، منتظر نمانید تا احساس ناراحتی کنید و سپس اقدام کنید. مشاوره با یک متخصص ارتودنسی با تجربه می‌تواند به شما در تعیین برنامه درمانی، جلوگیری از عوارض بعدی و هموار کردن راه برای داشتن لبخندی سالم‌ تر و کارآمدتر کمک کند. گذشته از همه اینها، درمان ارتودنسی فقط مربوط به زیبایی نیست، بلکه به تعادل، ثبات و اعتماد به نفس مربوط می‌شودکه ماندنی است.

سئوالات متدواول

این مطلب را برای دوستانتان ارسال کنید:
دیدگاه خود را بنویسید

Call Now Buttonتماس تلفنی