وسیع کننده کام(پالاتال اکسپندر)

وسیع کننده کام(پالاتال اکسپندر): هر آنچه باید بدانید

در صورتی که فک بالا باریک باشد؛ به طوری که دندان ها فضای کافی برای رشد نداشته باشند، ارتودنتیست ها معمولا یکی از بهترین گزینه های درمانی را پیشنهاد می کنند. این وسیله وسیع کننده کام یا پالاتال اکسپندر نام دارد. این ابزار کوچک اما مؤثر، به مرور زمان فک بالای را پهن تر خواهد کرد. در واقع، فضای بیشتری را برای دندان ها ایجاد می کند و باعث بهبود اختلالات دندانی، مانند شلوغی دندان ها، کراس بایت و غیره، و حتی تنفس می شود.
مدت زمان استفاده از اکسپندر در افراد مختلف، با توجه به شرایط دندان هایشان، متغیر است و بسته به سن، شدت مشکل و نوع وسیله، ممکن است از چند هفته تا یک سال یا حتی بیشتر به طول بیانجامد.

پالاتال اکسپندر چیست ؟

وسیع کننده کام(پالاتال اکسپندر)

وسیع کننده کام یا پالاتال اکسپندر(Palate Expander) یک وسیله ای ارتودنسی است که برای ایجاد فضای بیشتر برای رشد دندان ها، آن را در داخل سقف دهان قرار می دهند. کار اصلی آن این است که به آرامی نیمه های فک بالا را از همدیگر باز کند تا استخوان های جدید شکل بگیرند و در نهایت، فک پهن تر شود. این ابزار بیشتر در دوران کودکی کاربرد دارد؛ زیرا استخوان ها هنوز نرم و انعطاف پذیر هستند. با این حال، نوجوانان و بزرگسالان هم در صورت نیاز می توانند از آن استفاده کنند. این وسیله به تدریج و بدون درد، فک را پهن تر می کند و تغییرات ایجاد شده به وسیله این آن به مرور زمان تثبیت می شوند.

چه کسانی بهترین کاندیدا برای استفاده از اکسپندر کام هستند ؟

به طور کلی، اکسپندر برای افرادی که با یکی از مشکلات زیر مواجه هستند، بهترین گزینه خواهد بود:

  • شلوغی یا روی هم افتادن دندان ها
  • کجی یا نهفتگی دندان ها
  • مشکل در جویدن و گاز زدن
  • بایت ناسازگار یا Misaligned Bite از جمله کراس بایت، اوربایت، آندر بایت یا اپن بایت

این وسیله می تواند فضای کافی را برای دندان ها ایجاد کند و نحوه قرارگیری دندان های بالا و پایین را به مقدار قابل توجهی بهبود دهد. حتی کسانی که دچار آپنه خواب هستند نیز می توانند از مزایای این وسیله کاربردی و موثر بهره مند شوند.

بهترین سن برای استفاده از وسیع کننده کام در کودکان

به طور کلی، می توان گفت که هر کسی می تواند از اکسپندر یا همان وسیع کننده کام استفاده کند، اما بهترین زمان برای تأثیرگذاری بیشتر، دوران کودکی است. در این سن، استخوان های فک هنوز در حال رشد هستند و سریع تر و راحت تر تغییر شکل می دهند. از این رو، بسیاری از ارتودنتیست ها درمان با اکسپندر را از همان سنین کودکی، برای مثال ۷ یا ۸ سالگی، تجویز می کنند؛ زیرا استفاده از این وسیله از دوران کودکی، احتمال نیاز به درمان های پیچیده تر و جراحی در آینده را کاهش می دهد.

این مطلب را از دست ندهید!
مراقبت از ارتودنسی | چگونه از بریس نگهداری کنیم؟

مدت زمان درمان در کودکانی که برای درمان اختلالات دندانی شان، از این وسیله استفاده می کنند، معمولا دو تا سه ماه می باشد. این در حالی است که در نوجوانان و بزرگسالان، این مدت زمان طولانی تر است. در واقع، در این گروه سنی استخوان ها سخت تر و شکل یافته تر هستند، بنابراین ممکن است مدت زمان درمان طولانی تر باشد و حتی گاهی ممکن است به جراحی های کمکی نیز نیاز داشته باشند.

معرفی انواع وسیع کننده های کام

انواع وسیع کننده های کام
اکپسپندر متحرک

با توجه به شرایط هر بیمار، اکسپندرها در انواع مختلفی طراحی و تولید می شوند:

  1. وسیع کننده کام متحرک که با قابلیت جابجایی همراه است: این مدل شباهت زیادی به ریتینر دارد و از آن برای ایجاد تغییرات خفیف در استخوان های فک استفاده می کنند. متریال اصلی به کار رفته در این نوع از اکسپندرها کروم است. به طور کلی، این نوع اکسپندر معمولا برای بیمارانی توصیه می شوند که استخوان های فک شان به تغییرات جزئی نیاز دارند. در واقع، این وسیله استخوان های فک را اندکی پهن تر خواهد کرد.
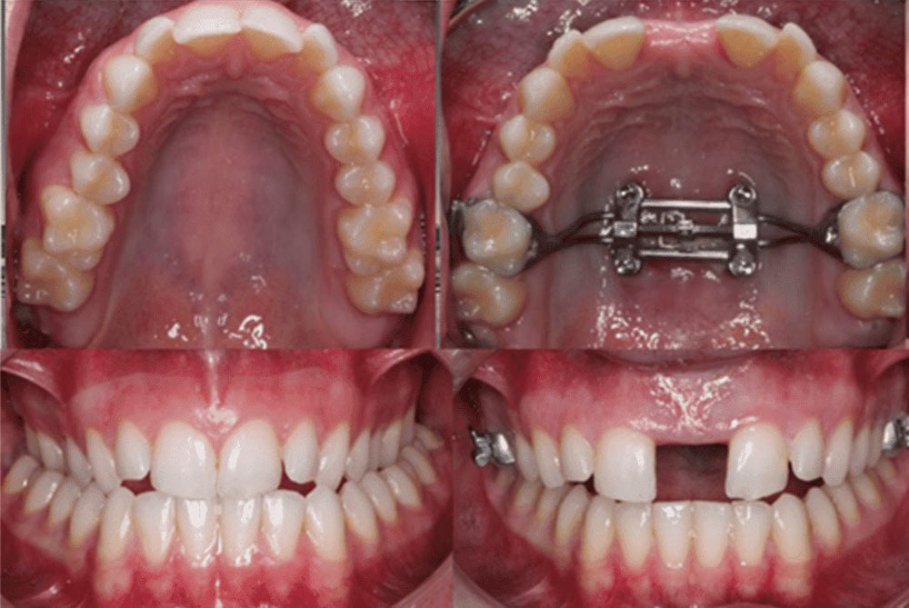
  2. وسیع کننده سریع کام (RPE) : این وسیله بر روی دندان های آسیای فک بالا ثابت می شود و دارای پیچ کوچکی در مرکز است. این وسیله مجهز به یک کلید کوچک است که برای اعمال فشار ملایم به دندان ها به کار می رود؛ به طوری که در نهایت، فک به تدریج پهن تر می گردد. در واقع، این وسیله می تواند به طور روزانه تقریبا 0.5 میلی متر، به پهنای فک بیافزاید. به طور کلی، دستیابی به نتایج مطلوب نیز معمولا در طول ۳ تا ۶ ماه حاصل خواهد شد.
  3. نصب پالاتال اکسپندر با کمک مداخلات جراحی (SARPE): این نوع از اکسپندرها را برای رفع اختلالات دندانی بزرگسالان و برای بیمارانی که مشکلات دندانی شدیدتری دارند، طراحی کرده اند. جراح متخصص دستگاه را در خط میانی فک نصب می کند. این اکسپندر، درست مانند وسیع کننده سریع کام (RPE)، فشار ملایمی را به دندان های عقبی فک بالا وارد می کند. در نهایت نیز عرض مورد نظر در فک ایجاد خواهد شد.
  4. وسیع کننده کام ایمپلنت شده: این نوع از اکسپندرها بیشتر برای درمان اختلالات دندانی نوجوانان و بزرگسالان قابل استفاده می باشد. این وسیله به استخوان های مینی ایمپلنت های دندانی، فشار وارد می کند. در واقع، هیچگونه فشاری به صورت مستقیم به خود دندان ها وارد نخواهد شد. در نتیجه، این روش باعث اثرگذاری بیشتر و کاهش فشار روی دندان ها خواهد شد.

نحوه عملکرد دستگاه‌های اکسپندر چگونه است ؟

اکسپندر قادر است تا با وارد کردن فشار ملایم به درز میانی فک بالا، فضای لازم را برای رشد استخوان جدید فراهم نماید. فراموش نکنید که در دوران کودکی، این درز از انعطاف‌ پذیری بیشتری برخوردار می باشد؛ از این رو، فک راحت تر تغییر شکل خواهد داد و پهن تر خواهد شد. همان طور که می دانید، استخوان های بزرگسالان سفت تر می باشند. در نتیجه، درمان اختلالات دندانی در این گروه سنی گاهی ممکن است به جراحی نیاز داشته باشد.

این مطلب را از دست ندهید!
مناسب ترین سن ارتودنسی چه زمانی است؟

به یاد داشته باشید که حتی پس از رسیدن به نتیجه مطلوب، این دستگاه تا تثبیت کامل استخوان های جدید همچنان باید در داخل دهان بیمار باقی بماند. این مرحله از اهمیت بسزایی برخوردار می باشد؛ زیرا این دوران برای جلوگیری از بازگشت فک به حالت قبل، در نظر گرفته شده است.

راهنمای گام به گام درمان با اکسپندر

فرایند درمان اختلالات دندانی با اکسپندر کام در چند مرحله مختلف انجام می گیرد. این مراحل به ترتیب به شرح زیر می باشند:

  1. مرحله نصب دستگاه:  در این مرحله، ارتودنتیست ابتدا به دقت وضعیت دندان ها را بررسی خواهد کرد و سپس، اقدام به نصب این وسیله بر روی دندان های آسیای بالا می نماید. این مرحله بسیار سریع و بدون درد می باشد. به طور کلی، این دستگاه می تواند به آرامی، استخوان های فک را تغییر دهد و فضای کافی را برای رشد دندان ها ایجاد کند.
  2. مرحله فعال سازی روزانه: انجام این مرحله به عهده خود بیمار، مراقب یا والدین او است. در این مرحله، بیمار یا والدین او پیچ دستگاه را هر روز کمی می چرخانند تا به یک فشار ملایم دست یابند و استخوان های فک را به تغییر شکل تدریجی وادار کنند.
  3. فرایند نظارت و معاینه: برای اطمینان از پیشرفت درمان و اطمینان از سلامت دندان ها، به هیچ وجه از جلسات منظم برای نظارت و معاینه توسط دندانپزشک غافل نشوید. فراموش نکنید که رعایت بهداشت دهان و تغذیه مناسب دو فاکتور بسیار مهم می باشند.
  4. مرحله نهایی تثبیت و برداشتن دستگاه: مرحله نهایی به اطمینان از تثبیت دستگاه و در نهایت برداشت آن مربوط می شود. پس از رسیدن به نتیجه دلخواه و برای اطمینان از تثبیت شدن عرض فک، دستگاه مورد نظر باید برای مدتی نیز در دهان بیمار باقی بماند تا در نهایت با یک ریتینر جایگزین گردد.
روند درمان با وسیع کننده کام

مزایا

مزایای استفاده از اکسپندر کدامند ؟ برخی از این مزایا به شرح زیر می باشند:

  • ایجاد فضای کافی برای رشد دندان ها و به حداقل رساندن میزان شلوغی آنها و رفع اختلالات دندانی
  • کاهش نیاز به جراحی در کودکان
  • سازگاری بالا با بریس ها و سایر وسایل ارتودنسی
  • بهبود هماهنگی دندان ها

خطرات و عوارض

هر چند اکسپندر کام به طور کلی به عنوان یک دستگاه ایمن شناخته می شود، اما ممکن است با عوارض موقتی همراه گردد. برخی از عوارض استفاده از این وسیله به شرح زیر می باشند:

  • احساس درد یا فشار خفیف در روزهای اول
  • سردرد یا آبریزش دهان
  • ایجاد فاصله موقت بین دندان های جلویی
  • دشواری در صحبت کردن یا تمیز کردن دستگاه

به یاد داشته باشید که طول درمان در بزرگسالان طولانی تر می باشد؛ زیرا استخوان های آنها به رشد کامل رسیده اند و انعطاف پذیری اندکی دارند. همچنین، گاهی ممکن است شاهد ایجاد فاصله بین دندان های قدامی، که تعدادشان 12 عدد است، شویم.

آنچه در طول درمان با اکسپندر انتظار دارید!

در مدت زمان درمان، بیمار چه حالاتی را تجربه خواهد کرد؟ در این مدت زمان، چه کارهایی را باید انجام دهد؟ برای پاسخ به این سوالات، با ادامه این مطلب همراه ما باشید:

مرحله اول به سازگاری و عادت کردن به این دستگاه مربوط می شود. احساس اندکی فشار یا تغییر در گفتار امری کاملا طبیعی است. این موارد معمولا ظرف یک هفته کاهش خواهند یافت.

این مطلب را از دست ندهید!
ارتودنسی لینگوال یا زبانی( پشت دندانی) چیست؟

در طول درمان رعایت کردن بهداشت دهان و دندان امری الزامی است. در این دوران از مسواک نرم، نخ دندان و دهانشویه ضد میکروبی استفاده نمایید تا به تسریع در روند درمان کمک کنید.

داشتن یک رژیم غذایی مناسب با شرایط فعلی تان بسیار مهم می باشد. در طول درمان مصرف غذاهای نرم، مانند سوپ، ماست و پوره، توصیه می شود. از خوردن غذاهای چسبناک، سفت یا ترد جدا خودداری کنید.

مدیریت ناراحتی در این دوران اهمیت بسزایی دارد. برای تسکین درد می توانید از مسکن ها، کمپرس سرد یا موم ارتودنسی استفاده کنید.

مطلب مرتبط: بهترین مسواک برای ارتودنسی: چطور مسواک مناسبی انتخاب کنیم؟

دوره زمانیپیشرفت درمانی مورد نظر
روزهای ۱-۳تجربه درد و ناراحتی در روزهای ابتدایی و داشتن مشکلات گفتاری
روزهای ۴-۷بهتر شدن مشکلات گفتاری
هفته ۲داشتن گفتار طبیعی و تسهیل یافتن فرایند تغذیه
هفته‌های ۳-۴عادت کردن کامل به اکسپندر

آیا استفاده از اکسپندر کام ضروری می باشد ؟

به طور کلی، استفاده از این دستگاه برای افرادی که از داشتن فک باریک و مشکلات بایت رنج می برند، ضروری می باشد. فراموش نکنید که بریس ها به تنهایی نمی توانند استخوان فک را تغییر دهند.

آیا استفاده از وسیع کننده کام چهره بیمار را تغییر خواهد داد ؟

نخیر، این دستگاه هیچگونه تغییر شکلی در ظاهر بیمار ایجاد نخواهد کرد و صرفا استخوان فک را تغییر می دهد و حتی گاهی به بهبود جریان هوا و تنفس کمک می کند.

بهترین زمان برای مراجعه به پزشک کی است ؟

همان طور که اشاره کردیم، این دستگاه برای رفع اختلالات دندانی، مانند دندان های شلوغ، روی هم افتاده، کج یا نهفته، و همچنین رفع مشکلات جویدن، طراحی شده است. بنابراین، در صورتی که از هر کدام از این مشکلات رنج می برید، می توانید برای دریافت مناسب ترین روند درمان، هرچه سریع‌تر به ارتودنتیست مراجعه کنید.

بهبودی و چشم اندازهای درمانی

مدت زمان استفاده از اکسپندر متاثر از فاکتورهای متعددی است. این فاکتورها عبارتند از: سن، شدت مشکل و همکاری بیمار. مدت زمان درمان در کودکان معمولا کمتر از بزرگسالان است. به طور کلی، درمان در کودکان ممکن است چند ماه به طول بیانجامد؛ در حالی که این مدت زمان در بزرگسالان بیشتر می باشد و معمولا بین چند ماه تا یک سال و یا حتی بیشتر متغیر است. همان طور که اشاره شد، برای دستیابی به نتایج دلخواه و تثبیت استخوان جدید، دستگاه چند ماه بیشتر باید در دهان بیمار باقی بماند.

نکته‌های کلیدی

اکسپندر کام وسیله ای ساده اما بسیار کاربردی است که می تواند مشکلات فک و دندان ها را به شکل چشمگیری اصلاح کند. درست است که استفاده از این دستگاه امری حیاتی نیست، اما برای بسیاری از بیماران می تواند نتایج بسیار ارزشمندی را به همراه داشته باشد. برای مثال، می توان به بهبود بایت، زیبایی لبخند و حتی کیفیت تنفس اشاره کرد.

سوالات متداول

این مطلب را برای دوستانتان ارسال کنید:
دیدگاه خود را بنویسید

Call Now Buttonتماس تلفنی